FESEM | SEM4000Pro
Microscop Electronic cu Balayaj și Emisie de Câmp Schottky pentru Analiză (FESEM)
CIQTEK SEM4000Pro este un model FE-SEM analitic, echipat cu un tun de electroni cu emisie de câmp Schottky, caracterizat prin luminozitate ridicată și durată lungă de viață. Designul său cu trei trepte de lentile electromagnetice oferă avantaje semnificative în aplicații analitice precum EDS / EDX, EBSD, WDS și altele. Modelul este echipat standard cu un mod de vid scăzut și un detector performant de electroni secundari pentru vid scăzut, precum și un detector de electroni retroîmprăștiați retractabil, ceea ce favorizează observarea probelor slab conductoare sau neconductoare.

Mod de vid scăzut

Rezoluție înaltă (0,9 nm @ 30 kV)

Extensibilitate excelentă

Sistem de încărcare/descărcare a probelor cu cameră de transfer (compatibil cu 8 inci)
(compatibil cu 8 inci)

Lentilă electromagnetică în trei trepte

Platformă mecanică eucentrică pentru probă
Optică electronică
Mod de Vid Scăzut
În modul de vid scăzut, se poate atinge un interval de presiune de 10–180 Pa fără a fi necesară o diafragmă de limitare a presiunii. Camera de vid a lentilei obiectiv, proiectată special, minimizează calea liberă medie a electronilor în condiții de vid scăzut și permite obținerea unei rezoluții de 1,5 nm la 30 kV în acest mod.
Emisia de electroni secundari de la suprafața probei ionizează moleculele de aer și generează simultan electroni, ioni și fotoni. Electronii generați continuă să ionizeze alte molecule de aer, iar detectorul de electroni secundari pentru vid scăzut (LVD) captează o cantitate mare de semnale de fotoni produse în acest proces.
Fasciculul de electroni incident ionizează moleculele de aer de la suprafața probei, generând electroni și ioni. Acești ioni neutralizează încărcarea electrică a suprafeței, reducând astfel efectul de încărcare.

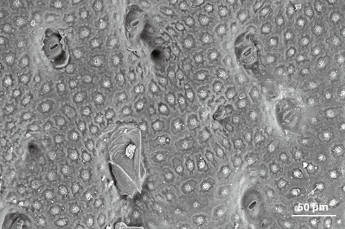
Placă PCB din fibră de sticlă, Vid scăzut 100 Pa / 10 kV / BSED (detector de electroni retroîmprăștiați)

Coajă de ananas, Vid scăzut 100 Pa / 10 kV / BSED (detector de electroni retroîmprăștiați)
| Specificații microscop CIQTEK SEM4000Pro FESEM | |||
| Optică electronică | Rezoluţie | Vid înalt |
0,9 nm la 30 kV, SE |
| Vid redus |
2,5 nm la 30 kV, BSE, 30 Pa 1,5 nm la 30 kV, SE, 30 Pa |
||
| Tensiune de accelerare | 0,2 kV ~ 30 kV | ||
| Mărire (Polaroid) | 1 ~ 1.000.000 x | ||
| Tipul tunului electronic | Tun de electroni cu emisie de câmp Schottky | ||
| Camera de specimene | Vid redus | Maxim 180 Pa | |
| Cameră | Camere duale (navigație optică + monitorizare cameră) | ||
| Interval XY | 110 mm | ||
| Interval Z | 65 mm | ||
| Gama T | -10° ~ +70° | ||
| Interval R | 360° | ||
| Detectoare SEM și extensii | Standard |
Detector Everhart-Thornley (ETD) Detector de vid scăzut (LVD) Detector de electroni retrodifuzați (BSED) |
|
| Opțional |
Detector retractabil de microscopie electronică cu transmisie și scanare (STEM) Spectrometru de dispersie a energiei (EDS / EDX) Model de difracție prin retrodifuzie electronică (EBSD) Încuietoare pentru schimb de specimene (4 inch / 8 inch) Panou de control pentru trackball și butoane |
||
| Interfață utilizator | Limbă | Engleză | |
| Sistem de operare | Ferestre | ||
| Navigare | Navigare optică, navigare rapidă prin gesturi, trackball (opțional) | ||
| Funcții automate | Luminozitate și contrast automate, Focalizare automată, Stigmator automat | ||